Fever outpatient発熱外来

Fever outpatient発熱外来

研修医の方へTo the Resident

To the Resident研修医の方へ

研修について

2005年より当院では地域医療の臨床研修施設の認定を受け研修医を受け入れています。

研修は1か月という短い期間ですので研修内容については季節などに大きく左右されますが、「百聞は一見にしかず、百見は一考にしかず、百考は一行にしかず。」というモットーでなるべく経験してもらうように努力しています。

この先のページには、研修先選択の参考となればと思い当院で研修した先生方に感想を書いてもらいました。

ただし個人情報保護のため、研修医のみ閲覧可能としました。閲覧希望の研修医は次の質問に答えてください。

診察室

Questions & Answers問題&回答

【問1】
54歳の女性。会社の健康診断で、総コレステロール280mg/dlとCK880㎎/dlを指摘されて来院した。運動の習慣もない。
とくに常用している薬もサプリメントもない。
やや最近、疲れやすく、眠気があり、毛が抜け、全身倦怠感があり、便秘気味で乾燥肌になっているのが気になるとのことであった。
脈は徐脈で体重も増加傾向とのことであった。
診断のためのスクリーニング項目としてもっとも適当なものはどれか。

【問2】
27歳の男性。イキギレとカラゼキを主訴に来院した。3.5ヶ月前から体重減少と倦怠感とが出現し、2週間前からイキギレとカラゼキを自覚している。
身長168センチ。体重55キロ。体温37.8℃。呼吸数22回/分。脈拍94回/分。整。血圧98/76mmHg。
コウクウナイに多発する白苔を認める。血液生化学所見;総蛋白6.0g/dl、アルブミン3.1g/dl、LD386IU/l(基準176〜353)、免疫学的所見CRP12.4mg/dl、β-D-グルカン116pg/ml(基準10以下)、HIV抗体陽性。胸部レントゲン写真でリョウハイヤに淡いすりガラスインエイを認める。
この患者で著明に減少している可能性が高いのはどれか。

【問3】
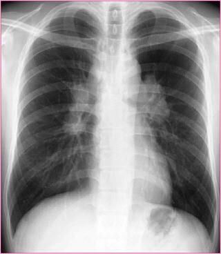
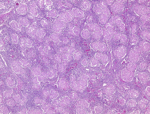
眼科でブドウマクエンと診断されて、全身検索のため内科コンサルトされた33歳男性。
下にその時の胸部レントゲン写真と組織生検写真を提示する。
この患者の肺病変に対する治療法はどれか。

【問4】
30歳、男性の交通ジコで救急カンジャ受け入れのヨウセイがあった。
ジコ現場トウチャク時点での血圧はショクシンで78mmHgとのことであった。
救急ガイライでケッカンカクホのために準備しておくべきリュウチシンの太さ(G)で適切なものはどれか。

【問5】
75 歳の男性。ケイブシュリュウをシュソに来院した。
6か月前からケイブにそれを自覚して おり、徐々にゾウダイしてきたため受診した。

  • ガンケン結膜に貧血を認めない。
  • 左ケイブに径1.9cm のリンパ節を4個、右エキカに径2.1cm のリンパ節を5個触知する。
  • いすれも ダンセイコウで圧痛はない。
  • 心音と呼吸音とに異常を認めない。
  • 腹部は平坦、軟で、肝・ 脾を触知しない。

血液所見:赤血球 399 万、Hb 11.1 g/dl、Ht 37 %、白血球 6,200、 血小板 24.1 万。血液生化学所見:総蛋白 7.4g/dl、アルブミン 4.7 g/dl、尿素窒素 18 mg/dl、クレアチニン 0.8 mg/dl、総ビリルビン 0.7mg/dl、AST 32 IU/l、ALT 29 IU/l、LD 437 IU/l(基準 176〜353)。
胸腹部造影 CTでジュウカクリンパ節、フククウ内リンパ節およびヒゾウの腫大を認める。
次に行う検査として最も適切なのはどれか。

解答番号を並べて記入してください。
正解者の方は専用ページへお進みいただけます。

番号が異なる場合はページが表示されません。