MENU
発熱外来二つの受診の方法【発熱外来】【当日オンライン診療】
発熱外来用の診察室には限りがあるため重症化リスクの高い方が優先になりますが、
なるべく多くの方を診療できるように二つの受診方法【発熱外来】【当日オンライン診療】を設定しました。
【当日オンライン診療】も検査(PCR、インフルエンザ、溶連菌など)が可能です。
対象者は以下の通りです。
発熱外来用の診察室には限りがあるため、重症化リスクの高い方が優先になりますが、
なるべく多くの方を診療できるように二つの受診の仕方【発熱外来】【電話診療】を設定しました。
【電話診療】も【発熱外来】同様、薬をお渡ししますし検査(PCR、インフルエンザ、溶連菌など)も可能です。
対象者は以下の通りです。
内科の症状
肺炎は我が国の死因第3位となっています。以前は第4位でしたが第3位に上昇しました。
平成29年に誤嚥性肺炎を別の死因として取り扱うようになりましたが、肺炎と誤嚥性肺炎を合計するとやはり第3位になります。
これは肺炎による死亡は高齢者に多く、人口の構造が高齢化しているのを反映していると考えられます。
肺炎とは
肺には、肺胞と呼ばれる小さな風船のような部屋がたくさんあります。
肺炎とは肺胞が炎症を起こして、肺胞の中に膿や粘液が溜まっていく病気です。
肺炎は非常に頻度の高い病気であり、「5歳未満の子供の全死亡の15%を占め、2017年には808,694人の子供が死亡しました。」
(WHOによる)
1918年に流行したスペインかぜの死亡者の96%、2009年のインフルエンザによる死亡者の30%で細菌性肺炎が検出されました。
このようにウイルスによる風邪から肺炎が引き起こされることがしばしばあるので風邪の予防はとても重要です。
肺炎の原因
感染症による肺炎は上記のようにウイルス性肺炎、細菌性肺炎、真菌性肺炎、結核菌肺炎などがあります。
他にも薬剤による肺炎、アレルギーによる肺炎、間質性肺炎などがあります。
ウイルス性肺炎
ウイルス性肺炎の原因ウイルスは様々ですが、多い順にインフルエンザウイルス、ライノウイルス、RSウイルス、パラインフルエンザウイルスという報告があります。
(石黒卓、成人市中肺炎におけるウイルス感染の関与〜単一施設での前向き検討〜 日呼吸会誌49(1),2011)
とてもたくさんあるのですが、現在のところインフルエンザウイルスによる肺炎だけ抗ウイルス薬が使用できます。
細菌性肺炎
細菌性肺炎とは細菌が原因となって起こる肺炎です。
上記の論文では成人市中肺炎のうち細菌性肺炎の原因菌についても検討していて、上位3つは肺炎球菌(12.8%) 、肺炎マイコプラズマ(9.6%)、インフルエンザ桿菌(7.2%)でした。
1番多いのは肺炎球菌で、重症化しやすいのも肺炎球菌との報告でした。
一般的には若い人ほどマイコプラズマ肺炎が多く、高齢者ほど肺炎球菌が原因となることが多くなると言われています。
真菌性肺炎
真菌とはカビです。
カビが肺に吸い込まれる場合はありますが、肺炎になるのは非常に稀です。
もともと肺の状態が悪い人でないとなかなか真菌性肺炎にはなりません。
例えば、結核になった後に肺が大きく変形しているような場合に真菌性肺炎になりやすくなります。
結核菌による肺炎
平成30年度厚生省の発表した「結核登録者情報調査年報」によると、2017年に新たに結核患者として登録された者の数(新登録結核患者数)は15,590人で、結核による死亡数は全国で2,303人でした。まだまだ死に至る病です。
同じ細菌なのに結核菌だけ死亡率が高いので特別扱いされています。
それでも総数が非常に少ないので一般の診療所では時々しか見かけない病気です。
それほど多いわけではありません。
治療しててもなかなか改善しないときに思い浮かべなければならない病気です。
早期に発見しないと周囲に感染させてしまうもっとも危険な肺炎です。
肺炎の症状
肺炎の症状は風邪に似ています。そのため、風邪か肺炎かを症状での区別は困難です。
肺炎の主症状は発熱、咳、痰、鼻水などです。
ウイルスによるただの風邪の場合、通常発熱は4〜5日間ほどで治まります。
4日目まで38℃以上の発熱が続く場合は肺炎を疑いましょう。
肺炎を起こすと肺胞に痰が溜まるため酸素が取り入れにくくなり、一生懸命呼吸をしなければならなくなります。
その結果、呼吸回数が増えます。成人の場合呼吸回数が1分間に20回を超えると肺炎になっている可能性が高くなります。
自分でも数えられますので、肺炎かもしれないと心配になったら数えてみるとよいでしょう。
また心拍数が100回/分を超えると肺炎になっている可能性が高まります。
結核菌による肺炎はちょっと特殊なケースです。
長引く咳や痰、食欲低下、体重減少、そして発熱(微熱)が典型的な症状です。
症状がそれほど激しくないため受診が遅れます。
咳とともに少しずつ体重が減ってかなり痩せ細ってくると肺結核を考えなければなりません。
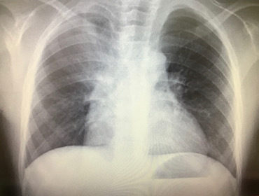
肺炎の診断
症状から肺炎を疑ったら胸部レントゲン写真を撮る必要があります。
症状や聴診器で肺の音を聴いただけでは肺炎の診断は困難です。
レントゲン写真に左右差のある白い陰影が認められたらそれは肺炎の可能性が高くなります。
肺炎が悪化してしまうと呼吸不全を起こします。
マイコプラズマ肺炎のレントゲン像
肺炎を疑ったら、採血で炎症反応や白血球数を調べます。
CRPという炎症反応が上がっている場合は肺炎を考えます。
痰のを取って細菌を見つけるために染色するグラム染色は昔からある肺炎診断のスタンダードです。
しかし、良質な痰を採取できる確率は約30%と低く、そのうちの半数にしか原因となる菌を見つけることができません。
このように検出率が低いため最近では血液中のマイコプラズマIgM抗体を調べたり、尿中の肺炎球菌抗原や、鼻の粘液からインフルエンザウイルスなどを調べます。
数分〜数十分で結果が出るので外来に向いている検査です。
ちなみに痰の検査は検出率が低いのですが、結核菌を見つけるためには非常に重要です。
また、時に肺炎のような胸部レントゲンの所見を持つ肺がんもあるので肺炎の原因がすぐにわからない時は必ず痰を検査しなければなりません。
肺炎の治療
様々な検査などにて肺炎の種類まで確認できたとき、それに対して治療が必要です。
肺炎においてたとえウイルスのみが検出されたとしても、同時に細菌感染を高率に(30〜50%)合併しています。
この場合二次感染に対応するためには抗生物質を使う必要があります。
2日間投与して効果がなければ別の抗菌薬を検討しなければなりません。
もちろん稀なケースではありますが、真菌が原因なら抗真菌薬、結核菌が原因なら抗結核薬が必要になります。
肺炎の予防
手洗い
まず、ウイルスや細菌をもらわないような対策が重要です。
手洗いについては「石鹸および手洗いをするようにした5歳未満の子供は、肺炎の発生率が対照群よりも50%低かった」という米国国立感染症センターの報告があります。
小さい子どもたちはすぐに手を口に入れてしまうためか、手についたウイルス、細菌を流し落とす手洗いは5歳未満の子どもたちにとても効果があります。
うがい
「対照被験者の上気道感染症の発生率は0.26エピソード/ 30人日でした。
その割合は、水うがいグループでは0.17エピソード/ 30人日、ポビドンヨードうがいグループでは0.24エピソード/ 30人日まで低下した。」と京都大学公衆衛生学部から報告されています。
ポピドンヨード(消毒薬)によるうがいは効果が非常に限定的なのかもしれませんが、水うがいは効果があります。
マスク
咳をしている人がマスクをするのは効果があります。
また、ウイルスが空気中に漂っているような場合マスクの効果はあまりないと言われていますが、他人からの飛沫は大きいサイズならマスクで防御可能です。
ワクチン
現在、肺炎に対応するワクチンは2種類あります。
一つはインフルエンザワクチンです。このワクチンは発症は防げないが重症化を防ぐとわかっています。
もう一つは肺炎球菌ワクチンです。
65歳以上になると肺炎球菌に対する抗体が少なくなってくるためその前にワクチンを打って抗体を増やしておくのが目的です。
まとめ
肺炎は重症化していくと命の危険がある病気です。
症状も風邪と同じようで区別がつきません。
ただし、4日以上続く38℃以上の発熱、呼吸回数20回/分以上、心拍数100回/分以上あるような時は肺炎を疑ってみてください。
